にしむらデンタルケアクリニック
Clinic
HOME
クリニック案内
院長紹介
初めての患者様へ
採用情報
よくある質問
お知らせ
コラム
サイトマップ
Medical
むし歯治療
予防歯科
歯周病治療
小児歯科
歯科口腔外科
歯内療法(根管治療)
義歯・入れ歯
ホワイトニング
審美治療(セラミック治療)
インプラント
ダイレクトボンディング
矯正歯科
歯ぎしり・食いしばり
症例紹介
費用とお支払いについて
〒852-8135 長崎県長崎市千歳町1-5 | 若葉町電停より徒歩1分
095-801-4819
WEB予約
HOME
クリニック案内
基本情報
施設紹介
設備紹介
当院の施設基準について
院長紹介
ドクターズインタビュー
初めての患者様へ
当院が選ばれる6つの理由
初回診察時の流れ
初診時の注意事項
診療案内
むし歯治療
予防歯科
歯周病治療
小児歯科
歯科口腔外科
歯内療法(根管治療)
義歯・入れ歯
ホワイトニング
審美治療(セラミック治療)
インプラント
ダイレクトボンディング
矯正歯科
歯ぎしり・食いしばり
症例紹介
費用とお支払いについて
採用情報
求職者の方へ
当院で働く5つのポイント
募集要項
応募フォーム
よくある質問
アクセス
症例紹介
ホーム
症例紹介
むし歯治療
予防歯科
歯周病治療
小児歯科
歯科口腔外科
歯内療法(根管治療)
義歯・入れ歯
ホワイトニング
審美治療(セラミック治療)
インプラント
ダイレクトボンディング
矯正歯科
歯ぎしり・食いしばり
症例紹介
費用とお支払いについて
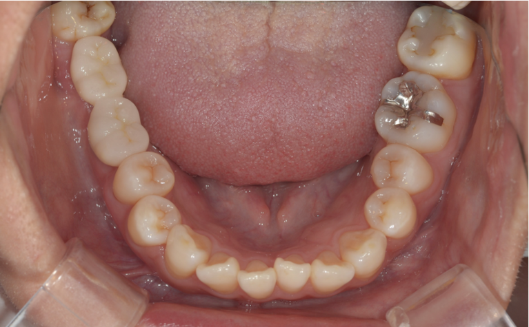
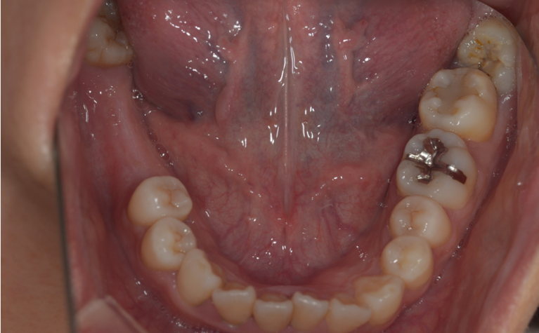
症例紹介
テキストテキストテキスト
治療内容
テキストテキストテキスト
治療期間
回
費用
円
主なリスク
テキストテキストテキスト
副作用
テキストテキストテキスト